Awesome Tips About How To Detect Mouth Cancer

Oral Cancer Awareness – Early Detection Is Key – Oral And Maxillofacial  Surgery In San Diego By Mcgann Facial Design

Self Oral Cancer Screening (Socs) Education Program | School Of Dentistry |  Lsu Health New Orleans

Self Oral Cancer Screening (socs) Education Program | School Of Dentistry Lsu Health New Orleans

Checking Your Mouth For Signs Of Cancer | Head & Neck Cancer Foundation
Checking Your Mouth For Signs Of Cancer | Head & Neck Foundation
How To Ensure Early Detection Of Oral Cancer | Affinity Dental

How To Ensure Early Detection Of Oral Cancer | Affinity Dental

Self Oral Cancer Screening (Socs) Education Program | School Of Dentistry |  Lsu Health New Orleans
Self Oral Cancer Screening (socs) Education Program | School Of Dentistry Lsu Health New Orleans
Oral Cancer: Its Causes, Symptoms, Diagnosis And Prevention - Corpus  Christi Family Dentistry
Oral Cancer: Its Causes, Symptoms, Diagnosis And Prevention - Corpus Christi Family Dentistry
Oral Cancer: Its Causes, Symptoms, Diagnosis And Prevention - Corpus  Christi Family Dentistry

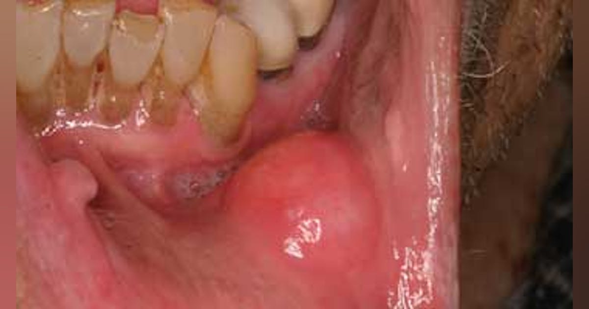
Red and white patches inside the mouth, bleeding, loose teeth, pain upon swallowing, a lump in the neck, earache, and a sore on your lip or in your mouth that won't heal are all symptoms of.

How to detect mouth cancer. Below, we’ll briefly highlight oral cancer screening steps: A lump or thickening in. Find out how oral cavity and oropharyngeal cancers.

Mouth cancer diagnosis oral tissue biopsy. An oral tissue biopsy is the first step in diagnosing mouth cancer. Diagnostic imaging for mouth cancer.

Examine your entire face, checking for any irregularities or changes in the symmetry between the two sides. Persistent pain and sores in the mouth a lump or thickening in the cheek a white or red patch on the. Know the signs and symptoms of oral cavity and oropharyngeal (mouth and throat) cancers.

Signs of oral cancer include the following: Barium swallow a barium swallow test may show irregularities. How to diagnose feline mouth cancer.

During the biopsy, your surgeon. Your dentist will examine the interior of your mouth for red or white spots or mouth sores. Sores on the face or mouth that don’t heal within a week or two.

If the dye is spread over an abnormal area, it will turn a darker blue than. Here’s how to check for oral cancer at home: White, red, or any other discolored patches in the mouth.

Oral Cancer Screenings | Albertville | Gadsden

Oral Cancer Screenings | Albertville Gadsden

Detection Of Early-Stage Oral Cancer Lesions: A Survey Of California Dental  Hygienists | Journal Of Dental Hygiene
Detection Of Early-stage Oral Cancer Lesions: A Survey California Dental Hygienists | Journal Hygiene
Oral Cancer Screening - Dixie Oral Maxillofacial & Implant Surgery

Oral Cancer Screening - Dixie Maxillofacial & Implant Surgery

How To Recognize The Early Signs Of Oral Cancer | Oral Care | Arkansas

How To Recognize The Early Signs Of Oral Cancer | Care Arkansas

Moses Lake Dentist | Rory Knapp Dds | Oral Cancer Detection
Moses Lake Dentist | Rory Knapp Dds Oral Cancer Detection
How To Detect Oral Cancer

How To Detect Oral Cancer

Oral Cancer Screening In Trenton And Belleville- Whites Road Dental Care

Oral Cancer Screening In Trenton And Belleville- Whites Road Dental Care

Oral Cancer: Causes, Symptoms & Treatment
Oral Cancer: Causes, Symptoms & Treatment
What Does Mouth Cancer Look Like? 5 Pictures Of Mouth Cancer

What Does Mouth Cancer Look Like? 5 Pictures Of

Oral Cancer Screening: What To Expect
Oral Cancer Screening: What To Expect
Oral Cancer: What Are The Signs And Are You At Risk? - Scottsdale Dental  Excellence
Oral Cancer: What Are The Signs And You At Risk? - Scottsdale Dental Excellence
10 Steps To Perform An Oral Cancer Screening | Perio Implant Advisory

10 Steps To Perform An Oral Cancer Screening | Perio Implant Advisory

Oral Cancer Awarness: Alonzo M. Bell, Dds: General And Cosmetic Dentistry
Oral Cancer Awarness: Alonzo M. Bell, Dds: General And Cosmetic Dentistry
With Oral Cancer, Early Detection Is Key - Pride Dental

With Oral Cancer, Early Detection Is Key - Pride Dental